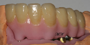
Wenn mit rosa Keramik gearbeitet wird, sollte das Zirkongerüst bereits entsprechned eingefärbt sein.
I you want to work with pink ceramic, the zircon should be already inked .
Hierzu empfiehlt es sich, die Form des Gerüstes so zu gestalten, dass der Übergang von zahnfarbenen Bereichen und Gingiva-Bereichen erkennbar ist.
For this purpose, it is recommended to design the shape of the frame so that the transition from tooth-colored areas and gingival areas can be seen.
Oft stellt sich dieses Problem besonders bei Implantatarbeiten oder Tumorpatienten.
Often, we find this problem especially in implant work or tumor patients.
Wenn das Gerüst eingefärbt ist, ergibt sich für die Gingivabereiche eine deutlich größere Tiefenwirkung.
If the frame is colored, the result for the Gingiva-areas show a much greater depth.
Die Einfärbeflüssigkeiten für das Zirkon sind in verschiedenen rosa Farbstufen erhältlich.
The coloring liquids for the zircon are available in different pink color levels.
Ebenso finden sie bei unterschiedlichen Herstellern unterschiedliche Farbtöne.
Also, you will find various colors from different manufacturers.
Hierdurch verbessern sie das Ergebnis ihrer Versorgung deutlich und erreichen eine sehr viel bessere Ästhetic.
In this way, you improve the outcome of your supply significantly and achieve a much better aesthetic.
Weitere Tips und Tricks zu dieser Technik finden sie in unseren Videos und Fachvorträgen.
More tips and tricks for this technique can be found in our videos and presentations.
Ich danke ihnen für Ihre Aufmerksamkeit !
I thank you for your attention!
Michael Anger
Your independent e-learning & support platform!






