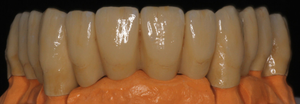
Einige Impressioinen zu verblendetem NEM.
Some impressions of veneered NEM.
Keramik : Nuance 850
Metall : Microlit isi
Die Innenseite der Kronen wurde nach dem Glanzbrand sandgestrahlt um die Oxydschicht zu entfernen.
The inside of the crowns was after glazing sandblasted to remove the oxide layer.
Der Hintergrund ist der Bildschirm meines I-Pads.
The background is the screen of my I-pad.
Die Glasur erfolgte mit HiQ-Glasur von Denseo – Infiltrationsglasur mit 6-Jahres-Garantie.
The glaze was made with HiQ-Glaze from Denseo – Infiltration glaze with 6year guarantee .
Unterstützt durch das Fräszentrum :
Supported by the milling-center :
Zur Übersicht :
To the Overview :
Your independent e-learning & support platform!















