Vorgestellt von :
Im vorliegenden Fall wird ein Patient nach den deutschen „Kassen-Richtlinien“ versorgt. In NEM mit vestibulär verblendeten Kronen und Brückengliedern. Die Verblendungen erfolgen im Oberkiefer einschließlich des zweiten Praemolaren, im Unterkiefer bis zum ersten Praemolaren. Gleichzeitig wird die vertikale Kieferrelation angehoben und die Lücken geschlossen. Natürlich musste bei einer angestrebten Bißerhöhung von mehr als 6mm im Vorfeld mittels einer Schienentherapie die Kieferrelation angehoben werden. Erstaunlicherweise hat der Patient diese Anhebung in einem Schritt toleriert.
Es wurde eine Aufbissschiene zum permanenten Tragen angefertigt, mit welcher der Patient tatsächlich auch gegessen und geschlafen hat. Da unser Patient starker Raucher war und viel Kaffee zu sich genommen hat, erspare ich Ihnen hier die Bilder der getragenen Schiene.
Die Ausgangssituation zeigt ein stark abrasives Gebiss mit freiliegenden Dentinkernen und lückigen Zahnreihen.
In den nächsten Bildern sehen wir die Arbeitsmodelle mit freigelegten und ausgeblockten Stümpfen.
Diese Art der zahntechnischen Arbeiten mit der Modellation von Vollanatomischen und Teilanatomischen Kronen und Brückengliedern ist bei sauberer Ausführung aufgrund der sehr zeitaufwändigen Handarbeit kaum kostendeckend herstellbar. Mit Hilfe der CAD/CAM-Technik dauern Scan und Modellation etwa 2-3 Stunden im Vergleich zum 3-4-fachen Zeitbedarf für Modellation, Anstiften, Einbetten, Giessen und Ausbetten. Somit sind solche Arbeiten nicht nur kostendeckend, sondern auch mit Gewinn realisierbar. Gleichzeitig werden „zufällige“ Misserfolge wie Fehlgüsse, Lunker oder Verzüge bei großen Brücken komplett ausgeschlossen.
Lassen Sie mich Ihnen einen kurzen Einblick in die computergestützte Modellation geben.
Die Modelle wurde mit Übernahme der Artikulatorwerte eingescannt.
Die Situationsmodelle wurden ebenfalls eingescannt und können jetzt virtuell als transparenter Vorwall auf das Modell gelegt werden
Aus der Zahnbibliothek wird eine geeignete Zahnform ausgewählt und passend positioniert. Die Software verschmilzt die Anatomie mit der Form der Stümpfe und den Präparationsgrenzen.
Mit den entsprechenden Tools kann diese Modellation im TruSmile-Modus erfolgen. Das bedeutet in einer simulierten Verblendungs-Ansicht.
Auch wenn eine ideale Zahn- zu zwei-Zahn Verzahnung in diesem Fall nicht beidseitig möglich ist, versuchen wir dennoch eine bestmögliche Abstützung zu erreichen.
Wir definieren jetzt die Bereiche, welche für die Keramikverblendung vorgesehen sind um das Gerüst dort zu „Schrumpfen“. Die Vollanatomischen Bereiche werden hierbei ausgelassen. Nach Deutschen Kassen-Richtlinien bedeutet das im Oberkiefer Verblendung inklusive des zweiten Praemolaren. Im Unterkiefer inklusive Verblendung des ersten Praemolaren.
Hier die Bilder nach dem Schrumpfen für die Keramikverblendungen.
Hiermit ist die Modellation abgeschlossen und die Arbeit kann gefräst werden.
Durch geschicktes Platzieren (nesting) wird versucht, möglichst viele Einheiten aus einem Blank heraus zu fräsen.
Bei korrekter Abstimmung der Passungsparameter passen die Gerüste nach der Fräsung nach nur kleinen händischen Korrekturen.
Seit Juli 2015 werden von uns neue Werte empfohlen,- diese sind bisher nicht veröffentlicht. Bitte fragen Sie in unserem Support nach. Die gefrästen Gerüste kommen polierfertig aus der Maschine und wir kontrollieren nach dem Aufpassen nur noch die Okklusion. Formkorrekturen sind im Allgemeinen nicht nötig.
Die keramische Verblendung auf gefrästen Gerüsten ist leichter und sicherer als auf gegossenem Metall. In diesen Bildern sehen wir den Rohbrand.
Hier gibt es keine Lunker, Einbettmasse-Einschlüsse, Kohlenstoff-Verunreinigungen etc.
Zur Rohbrandeinprobe werden die Metall-Anteile mit einer Gummi-Polierburste abgezogen. Hierdurch sind für den Behandler Fehlkontakte leichter erkennbar als auf polierten Flächen.
Hier wurde lediglich ein Farb-Fixierungsbrand ohne Glasur aufgetragen.
Nach der Anprobe werden zur Fertigstellung noch leichte Korrekturen der Okklusion vorgenommen.
Nach der aschließenden Glasur werden die Oberflächen werden fein poliert.
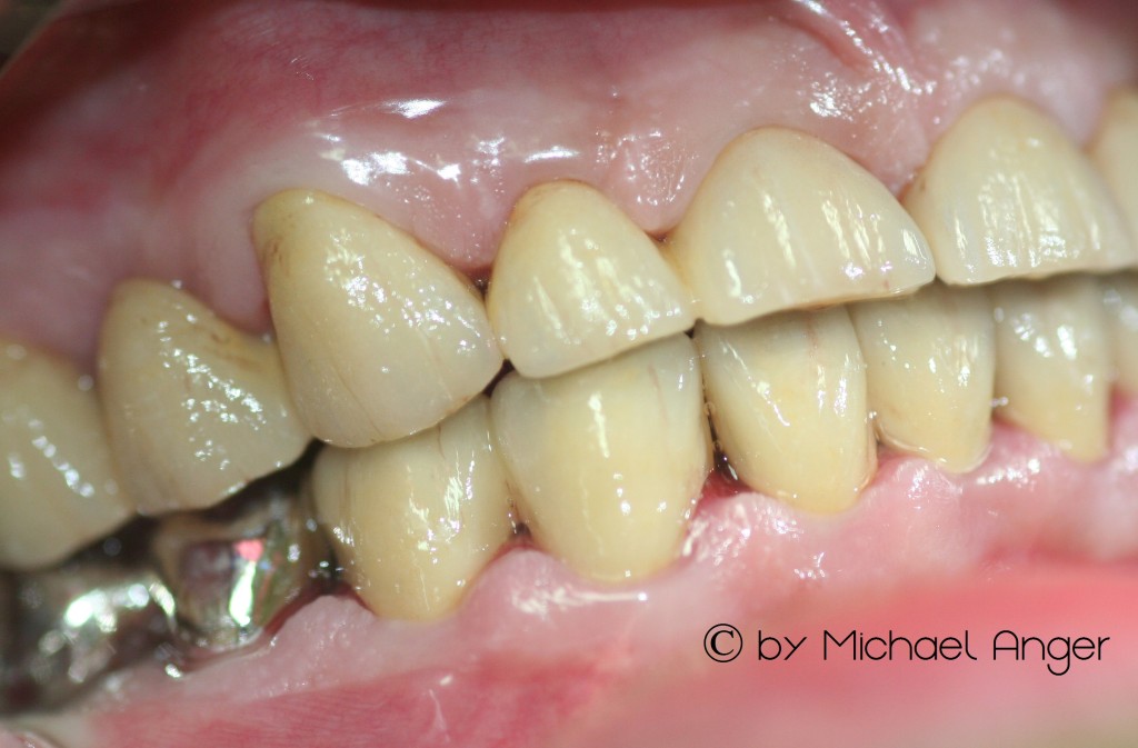
Auch für einen Kassenpatienten ohne Zuzahlung (Härtefall) sollte man versuchen ein gutes ästhetisches Ergebnis zu erzielen.
Ästhetische und funktionelle Gestaltung der Front. Saubere Politur der Metallanteile.
Anmerkung 2017/07 :
Derzeit sind aus mir nicht erklärbaren Gründen gefräste Kronen und Brücken aus Metall nicht in der Kassenrichtlinie abgedeckt.
Dort heißt es im Text „gegossen“ und somit wäre eine gefräste Konstruktion trotz besserer Passung und wesentlich homogeneren Gefüges und somit einer überlegenen Qualität hierfür nicht zugelassen und strenggenommen sogar Abrechnungsbetrug.
Wie gesagt – absoluter Unsinn, aber derzeit scheinbar im Kassenrecht so gewollt.
Euer Michael
Die Bilder diese Artikels wurden bereitgestellt von:
Michael Anger
Übersicht / Overview :
Your independent e-learning & support platform!





























