Wir erreichen mit den derzeitigen Zirkon-Materialien keine echten Tranzparenzen, aber mit geschickten Farb-Einlagerungen oder Applikationen versuchen wir ästhetisch annehmbare Ergebnisse zu erhalten.
With the current zirconium materials we reach no real Tranzparenzen, but with clever color deposits or applications, we try to obtain aesthetically acceptable results.
Hier ein kompletter Oberkiefer auf Implantaten und natürlichen Zähnen :
Here a complete upper jaw on Implants and natural teeth :
Next case:
Nächster Fall :
Hier ein kompletter Unterkiefer unserer Referentin Christina Herbaum aus monolithischem Zirkon (Transluzent von Schütz-Dental) mit E-max Glasur.
Here is a complete Lower jaw of our lecturer Christina Herbaum in monolithic zirconia (Transluzent from Schütz-Dental) with E-max glaze.
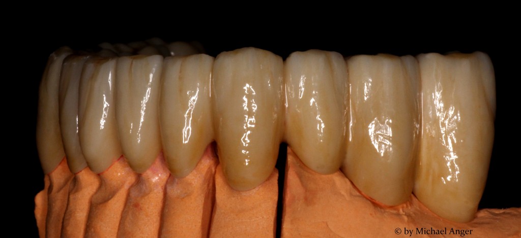
Hier eine Frontbrücke unserer Referentin Christina Herbaum aus monolithischem Zirkon (Transluzent von Schütz-Dental) mit E-max Glasur.
Here is a front bridge of our lecturer Christina Herbaum in monolithic zirconia (Transluzent from Schütz-Dental) with E-max glaze.
Supported by the milling-center :
Einige Bilder zu monolithischen Zirkonarbeiten.
Some pictures of monolithic Zirconia.
by Michael Anger
Zurück zur Übersicht :
Back to the Overview :
Your independent e-learning & support platform!




























