Mehrfarbige Blanks zur Herstellung von Provisorien
Multicolored blanks for temporaries
Vorgestellt von dem Fräszentrum :
Presented by the millingcenter :
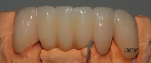
Bei den neuesten Blanks sieht man keine einzelnen Farbschichten mehr
In the latest Blanks we can’t see single individual color layers anymore
Frühere Bilder / earlier Images :
3-schichtige oder
5-schichtige Blanks
3-layered or 5-layered Blanks
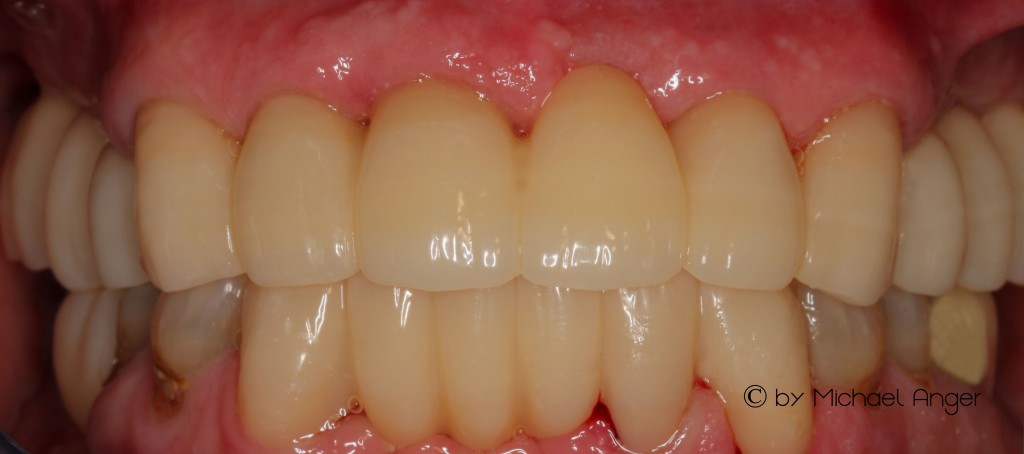
Keine Verblendung erforderlich
No veneering necessary
Für Langzeitprovisorien empfohlen
For longtime-temporaries
Nicht für permanente Lösungen
(Sekundärkaries)
Not for permanent solutions (Secondary-caries)
Ästhetische Ergebnisse mit wenig Aufwand
Esthetic results with little effort
Your independent e-learning & support platform!









