Dieser Fall wurde von uns von einem Kunden unseres Fräszentrums geschickt, mit dem Auftrag zur Herstellung anatomischer Aufbissschienen zur Bißhebung.
Zusätzlich um dem Patienten vor Beginn der definitiven Versorgung sowohl einen ersten ästhetischen Eindruck der späteren Versorgung zu vermitteln.
This case was sent by us by a customer of our milling center, with the order for the production of anatomical bite bars for bite removal.
In addition, to provide the patient with a first aesthetic impression of the future care before the definitive care is started.
In solchen Fällen nutzen wir die exocad-Software und verwenden Vorlagen aus anderen Kiefern, die wir als WaxUp für unsere Schienen passen machen.
In such cases, we use the exocad software and use templates from other jwas that we make fit as WaxUp for our bitesplints.
Der folgende Fall entstand in der Zusammenarbeit eines Kollegen mit unserem Fräszentrum.
The following case originated in cooperation of a colleague with our milling center.
In diesem Fall musste der Patient vor der Versorgung mit Zahnersatz in einer neuen Kieferrelation eingestellt werden.
Hierzu wurde zuerst eine Vermessung der Kiefergelenke und der therapeutischen Position vorgenommen.
Die ersten Bilder zeigen die Ausgangsposition.
In this case, the patient had to be adjusted in a new jaw relation before the supply with new dentures.
For this purpose, first a survey of the TMJ and the therapeutic position was made .
The first images show the starting position .
In der neuen Kieferrelation wurden zwei WaxUp’s auf Kunststoffbasen aus Pattern Resin angefertigt und im Mund kontrolliert.
In the new jaw relation two WaxUp ’s were made on plastic bases from Pattern Resin and controlled in the mouth .
Diese Schablonen hat der Kollege uns zusammen mit den Modellen und der Bitte um Überführung in definitive Schienen aus einem geeigneten Material geschickt.
These templates, the colleague sent us together with the models and the request for conversion into definitive bitesplints out of a suitable material .
Wird fortgesetzt / To be continued
Ein anderer Fall mit einem anderen großartigen Kollegen :
Another case with another great colleague :
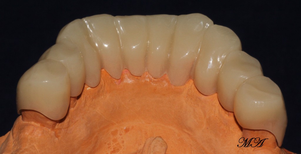
Aufbissschiene aus zahnfarbenem PEEK.
Bitesplint from tooth-colored PEEK.
Der Kunde hat uns den Datensatz dieser Schiene geschickt mit der Bitte, diese Modellation in zahnfarbenem PEEK zu fräsen.
The customer has sent us the data set of this bitesplint with the request to mill this in tooth colored PEEK.
Die linguale Flächen der Frontzähne wurden bei der Schiene ausgelassen und stattdessen ein Sublingualbügel modelliert, der die beiden seitlichen Teile der Schiene miteinander verbindet.
The lingual surfaces of the front teeth were left out of the splint and instead modeled a sublingual-strap, which connects the two side parts of the bitesplint together.
Diese Schiene ist aufgrund des Materials PEEK absolut für Allergiker geeignet, durch den normalen Gebrauch praktisch unzerstörbar und kann sehr viel graziler gestaltet werden als Schienen aus anderen Materialien.
This bitesplint is because of the material PEEK absolutely suitable for allergic people,practically indestructible by normal use vand can be made much more delicate than splints made of other materials.
Dieser Bericht wird Ihnen präsentiert von:
This report is supported by :
Schienen für 24 Stunden in zahnform
Bitesplints for 24 hours toth-shaped
Gefräste Aufbissschienen in jeder Variation
Milled bitesplints in every way you want
Alle Farben sind möglich
All colors are possible Extrem stabil und haltbar!
Extreme stable and durable!
Flexible Materialien sind möglich
Flexible materials are possible
Zeitsparend in der Herstellung !
Time-saving production !
Extrem klares Material ohne Einschlüsse
Extreme clear material without bubbles etc.
In Zahnform & Zahnfarben
In tooth-shape & tooth-colored
Besonders für Allergiepatienten
Specially for allergy-patients
In den Materialien :
In the Materials :
PMMA
Acetal
Polycarbonat
PA
PEEK
Your independent e-learning & support platform!












